Paciente mujer de 51 años que acude por hipoacusia brusca
del oído izquierdo.
Se realiza exploración por ORL, con otoscopia normal y una
audiometría que muestra caída en frecuencias agudas de forma bilateral, más
marcada en el oído derecho.
En virtud de esta clínica se solicita RM, cuyos hallazgos
más significativos se presentan a continuación.
Plantear:
-¿Cuál fue el diagnóstico de sospecha para solicitar la RM?
- ¿Qué secuencias se presentan y cuáles son los hallazgos
fundamentales?
- Plantear el diagnóstico diferencial.
Venga, que éste es muy fácil... Que sirva para que nos lo estudiemos.
Solución:
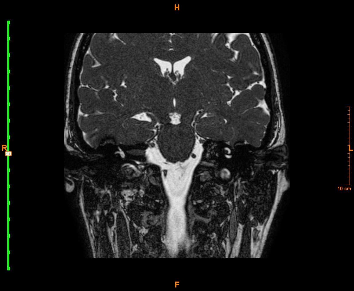
Efectivamente, nuestra paciente fue diagnosticada de un Neurinoma del VIII par craneal, un tumor benigno, de crecimiento lento, de la vaina nerviosa. Acudió por un cuadro de pérdida de audición de un mes de evolución. Se le realizó audiometría que mostraba una caída en frecuencias agudas. A los dos meses se le revisó de nuevo en consulta ambulatoria indicando la paciente que había vuelto a sufrir los episodios de pérdida de audición por lo que se decide la solicitud de una RM de poros acústicos.
Así es como llega a nuestra cita de RM donde se le realiza un estudio específico para valoración del ángulo pontocerebeloso que incluye las secuencias referidas en los comentarios (FFE T1 3D sin y con contraste intravenoso, B-FFE T2 coronal y DRIVE T2 axial). En estas secuencias realizadas se identifica una lesión que ocupa el CAI derecho, protuyendo hacia el ángulo pontocerebeloso del mismo lado y que sigue el trayecto del VII y VIII pares craneales. Presentaba unas dimensiones de 5 x 15 mm, mostrando una baja intensidad de señal en T2 y realce homogéneo con el contraste, concluyéndose el informe como altamente sugestivo de neurinoma.
El CAI izquierdo no presenta lesiones en su interior, mostrando el par estato-acústico un trayecto e intensidad de normal. El resto de estructuras no mostraban alteraciones.
La RM con gadolinio es la prueba de elección y nos sirve, además de para confirmar la sospecha, para valorar la extensión de la lesión. Como se ha comentado, existen tres fases principales: la intracanalicular, que es la que aparece en el 95% de los casos y en la que el síntoma fundamental es la hipoacusia neurosensorial progresiva; la cisternal, en la que el tumor ocupa el ángulo pontocerebeloso sin comprimir el tronco pero sí afectando a otros pares craneales. Estos serán, en orden de frecuencia, el trigémino (hipoestesias faciales), el facial (parálisis facial) y los pares bajos (IX, X, Xi y XIII). La última fase es la compresiva, en la que el crecimiento es mayor y se comprime el tronco y el cerebelo, dando síntomas de hipertensión intracraneal y sindrome cerebeloso.
El tratamiento es quirúrgico, como fue el caso de nuestra paciente, pudiendo hacerse un abordaje translaberíntico, retrosigmoideo o transtemporal.






Bueno qué pasa? Habrá que pensar en diagnostica a esta pobre paciente no? O es que no nos hemos estudiado la Neuro??
ResponderEliminarLa sospecha clínica para solicitar un estudio de RM es descartar posibles causas orgánicas de hipoacusia neurosensorial, en especial el neurinoma acústico o schwanoma vestibular.Se trata un tumor benigno de la vaina perineural,es un tumor originado a partir de las células de Schwann del VIII par craneal y es el tumor más frecuente del CAI y del ángulo pontocerebeloso. Tiene una incidencia rara , con aparición más frecuente entre la cuarta y sexta décadas.Se suele presentar de manera esporádica, algunos casos familiares, y en otros puede presentarse de forma bilateral habiltualmente en el contexto de una neuroflbromatosls tipo 2.
ResponderEliminarClínicamente se divide en 4 estadios ( estadio intracanalicular, cisternal, de compresión de tronco encefálico e hidrocefálico) que desencadenan diferentes síntomas de acuerdo al grado de compresión y ocupación del conducto auditivo interno y tronco encefálico, sin embargo la hipoacusia sigue siendo el síntoma más importante en su presentación.
Para la orientación diagnóstica la audiometría de tonos puros es el examen indicado en una primera etapa, sin embargo el estudio de imagen con resonancia magnética es la pueba de elección para la confirmación.
La audiometría de tonos puros evidencia una hipoacusia neurosensorial asimétrica en tonos agudos en casi el muchos de los pacientes afectos, como es el caso presentado, (aunque pocos de pacientes con este patrón audiométrico padezcan neurinoma del acústico).
Las secuencias de RM de cráneo presentadas son secuencia axial Balance-FFE y secuencias coronales DRIVE, así como secuencia específica de CAIS. Son secuencias eco de gradiente, potenciadas en T2, con cortes finos, que son especialmente útiles para el estudio de los pares craneales y su patología.
En todas estas secuencias podemos evidenciar una lesión nodular dependiente del VIII pc izquierdo me parece que con componente intra y extra canalicular y extensión a la cisterna del ángulo pontocerebeloso, compatible con neurinoma (creo que estadio II o cisternal).
El diagnóstico diferencial lo podríamos hacer con otras lesiones comunes del ángulo pontocerebeloso (meningioma), restos congénitos (quistes aracnoideos,lipomas) , lesiones vasculares (paragangliomas,hemangiomas, aneurismas), tumores intracerebrales (gliomas,astrocitomas, meduloblastomas, tu. del IV ventrículo), lesiones que se extienden a la base del cráneo (cordoma, glomus...) y con metástasis.
La lesion es derecha, no izquierda, perdón.
ResponderEliminarUna respuesta muy completa, Dra. Romero. ¿Alguien quiere aportar algo más?
ResponderEliminarSaludos.
Buenas tardes:
ResponderEliminarComo siempre, estupendo comentario de la Dra. Romero.
Efectivamente, nuestra paciente fue diagnosticada de un Neurinoma del VIII par craneal, un tumor benigno, de crecimiento lento, de la vaina nerviosa. Acudió por un cuadro de pérdida de audición de un mes de evolución. Se le realizó audiometría que mostraba una caída en frecuencias agudas. A los dos meses se le revisó de nuevo en consulta ambulatoria indicando la paciente que había vuelto a sufrir los episodios de pérdida de audición por lo que se decide la solicitud de una RM de poros acústicos.
Así es como llega a nuestra cita de RM donde se le realiza un estudio específico para valoración del ángulo pontocerebeloso que incluye las secuencias referidas en los comentarios (FFE T1 3D sin y con contraste intravenoso, B-FFE T2 coronal y DRIVE T2 axial). En estas secuencias realizadas se identifica una lesión que ocupa el CAI derecho, protuyendo hacia el ángulo pontocerebeloso del mismo lado y que sigue el trayecto del VII y VIII pares craneales. Presentaba unas dimensiones de 5 x 15 mm, mostrando una baja intensidad de señal en T2 y realce homogéneo con el contraste, concluyéndose el informe como altamente sugestivo de neurinoma.
El CAI izquierdo no presenta lesiones en su interior, mostrando el par estato-acústico un trayecto e intensidad de normal. El resto de estructuras no mostraban alteraciones.
La RM con gadolinio es la prueba de elección y nos sirve, además de para confirmar la sospecha, para valorar la extensión de la lesión. Como se ha comentado, existen tres fases principales: la intracanalicular, que es la que aparece en el 95% de los casos y en la que el síntoma fundamental es la hipoacusia neurosensorial progresiva; la cisternal, en la que el tumor ocupa el ángulo pontocerebeloso sin comprimir el tronco pero sí afectando a otros pares craneales. Estos serán, en orden de frecuencia, el trigémino (hipoestesias faciales), el facial (parálisis facial) y los pares bajos (IX, X, Xi y XIII). La última fase es la compresiva, en la que el crecimiento es mayor y se comprime el tronco y el cerebelo, dando síntomas de hipertensión intracraneal y sindrome cerebeloso.
El tratamiento es quirúrgico, como fue el caso de nuestra paciente, pudiendo hacerse un abordaje translaberíntico, retrosigmoideo o transtemporal.
Gracias por vuestros comentarios. El caso queda cerrado.